Sometimes, keeping your pet's chompers healthy can feel like a big job. Luckily, here at Carson Animal Hospital, we will do everything in our power to make it easier!

Pet DentistryBecause our pets don’t brush their teeth every night before bed like we do, tartar can firmly adhere to the teeth. 

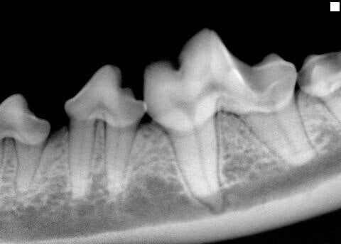
To remove this tartar, we will perform dental scaling, our most basic dental procedure. Our practice requires anesthesia for this. To ensure your pet's safety, we will first perform a full physical exam and then sometimes run blood tests. Inside the mouth, we utilize local anesthetic injections to reduce pain. We also have committed to excellence with digital dental radiography. This allows us to see every root tip and surrounding bone in your pet's mouth to make sure things are healthy under the gum line.

 We will closely monitor your pet the entire time they receive anesthesia. Our practice tracks oxygen saturation and carbon dioxide levels in their blood along with their blood pressure, heart rate, and temperature. During the scaling process, we use an ultrasonic power scaler as well as handheld instruments to remove this tartar from the surface of the teeth both above and below the gum line. 

It is the goal of our practice for your pet to retain as many teeth as possible. However, sometimes surgical extraction of a severely diseased tooth is the only option to relieve pain or ensure that periodontal disease does not advance. If not extracted, many times a diseased tooth can compromise the surrounding tissue and neighboring teeth. If caught early, there are more treatment options available for periodontal disease.

There are several products on the market today that are clinically proven to prevent plaque and tartar. These products can be found here and have no fear, only one is a toothbrush!

To help maintain the health of your pet’s mouth and teeth, we will thoroughly examine their mouth at their annual exam, or anytime you feel it's needed!

Catching dental problems in the early stages can greatly help your pet in the long run. Contact our practice right away if your pet experiences any of the following:

  • Chronic bad breath
  • Your pet shies away when you try to touch their mouth area
  • Excessive drool
  • Dropping food when eating
  • Bleeding in your pet’s mouth
  • Loss of appetite or weight loss
  • Yellowish brown crust of tartar around the gum line
  • Missing, loose or broken teeth